
At UPMC Sports Surgery Clinic, we understand that hip osteoarthritis is a common condition affecting a significant portion of the population. Around 8% of adults over the age of 45 have sought treatment for osteoarthritis of the hip (Arthritis Research UK 2013).
Osteoarthritis can affect any joint in the body but most frequently affects weight-bearing joints such as the hip and knee.
It is more common in females and rates also increase with advancing age and with increasing levels of obesity.
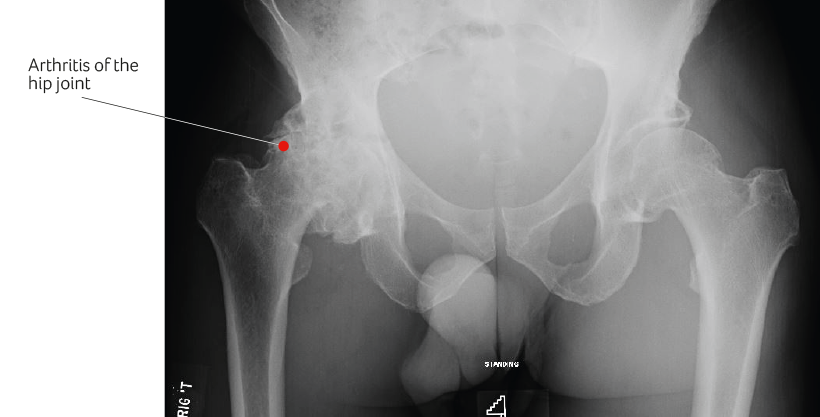
In osteoarthritis, the cartilage over the surface of the joint gradually wears away. This eventually results in exposure of the underlying bone. In addition, the joint in response attempts to heal by forming additional bony spurs known as osteophytes.
- Common symptoms of hip osteoarthritis include:
- Pain in the groin and/or buttock area
- Pain that worsens with activity or after prolonged sitting
- Stiffness in the joint leading to difficulties that involve hip flexion such as putting on your shoes and socks
- Painful limp
- Pain at night and sleep disturbance
| For further information on Osteoarthritis of the Hip or to make an appointment with a hip specialist please contact [email protected] |










